Naše usluge

 


  • Maksilofacijalna hirurgija ciste vilica

  • Maksilofacijalna hirurgija kraniofacijalne anomalije

  • Maksilofacijalna hirurgija rekonstruktivna hirurgija lica

MAKSILOFACIJALNA HIRURGIJA

  • specijalistički pregled
  • liječenje oboljenja pljuvačnih žlijezda
  • infekcije maksilofacijalne regije; hirurško liječenje
  • plastična hirurgija lica; otklanjanje promjena na koži u regiji glave i vrata, primarna rekonstrukacija defekta
  • traumatologija; lijecenje preloma kostiju lica i vilica
  • kraniofacijalne anomalije; operativni tretman
  • ciste vilica; operativno liječenje (cistektomije)
  • ortognatska hirurgija

Oralna hirurgija frenulopastika

ORALNA HIRURGIJA

  • ekstrakcije zuba
  • komplikovane ekstrakcije
  • ekstrakcije impaktiranih zuba
  • frenuloplastike
  • resekcije korijena zuba
  • vestibuloplastike

implantni sistem alfa bio

IMPLANTOLOGIJA

  • ugradnja visoko-kvalitetnog implantnog sistema alfa bio

  • Tretman dermalnim filerom deformiteta nosa (15 min. nose job)

  • Estetska hirurgija lica hirursko povećanje rumenog dijela gornje usne bez silikona i hijalurona

  • Tretman dermalnim filerom nazolabijalnih bora

  • korekcija gornjih kapaka (blefaroplastika)

ESTETSKA HIRURGIJA LICA

Hirurške korektivne metode:

  • korekcije spuštenih kapaka blefaroplastika),
  • korekcije klempavih ušiju (otoplastika),
  • korekcije nepravilnosti nosa (rinoplastika),
  • hirurško uvećanje rumenog dijela usana bez silikona i hijalurona,
  • face lift (mini face lifting, SMAS),
  • redukcija masnog jastučeta obraza,
  • postavljanje implanata u regiju lica (vilični, bradni I jagodični),
  • liposukcija vrata
  • redukcija Adamove jabucice

Injekcione metode (hijaluronski fileri, botox):

  • korekcije bora,
  • uvećanje usana,
  • korekcije deformiteta,
  • korekcije nepravilnosti nosa

  • Protetika, totalne proteze

  • Izbjeljivanje zuba

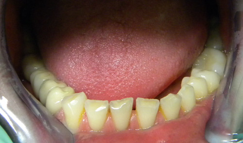
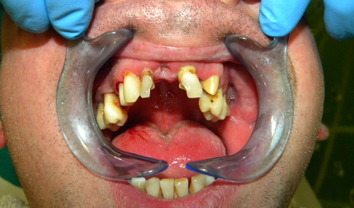
  • Metalokeramičke krunice (prije)

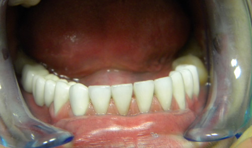
  • Metalokeramičke krunice (poslije)

  • Bezmetalna keramika (prije)

  • Bezmetalna keramika (poslije)

  • Zubni nakit

PROTETIKA I ESTETSKA STOMATOLOGIJA

  • metalokeramičke krunice
  • bezmetalna keramika (cirkonijum, e max, pretau cirkonijum)
  • zubne proteze
  • visoko-kvalitetne nanokompozitne plombe
  • izbjeljivanje zuba

KONSULTATIVNE I TERAPIJSKE USLUGE IZ DJEČIJE STOMATOLOGIJE

  • specijalistički pregledi i zaštita zuba od prve godine života
  • prevencija karijesa kod djece
  • stomatološki pregledi i savjetovanje trudnica o oralnom zdravlju
  • terapija stomatoloških oboljenja kod djece

PATOHISTOLOŠKA DIJAGNOSTIKA PREPARATA


I.V. SEDACIJA


OPERATIVNI ZAHVATI U OPŠTOJ ANESTEZIJI U SARADNJI SA PRIVATNIM BOLNICAMA


 

Copyright © . Aleja – Centar. All rights reserved.